Ввели в кому в Таиланде - Костанайца госпитализировали во время отпуска, лечение оценили в 500 000 бат
Диас СУЛЕЙМЕН
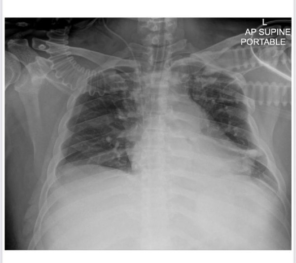
36-летнего Алексея Вивтоненко госпитализировали 2 февраля в Vachira Phuket Hospital. Его брат Тихон ВИВТОНЕНКО рассказал «НГ» о состоянии Алексея и о трудностях с оплатой лечения за рубежом.

- Ориентировочно 25 числа он уже был там и 31 января поступил в клинику с жалобой на рвоту, - делится Тихон. - Впоследствии его прокапали и ситуация нормализовалась, но 2 февраля госпитализировали, и по сей день он находится в состоянии искусственной комы и на гемодиализе. По диагнозам у него сейчас выявлена пневмония, легочная недостаточность, сепсис, острый панкреатит. Они (представители больницы - «НГ») с меня потребовали 500 000 бат, что эквивалентно 8 млн тенге. Страховая покрыла расходы на лечение в размере $10 000, это страховка, которую приобрели по путевке. Далее родные должны выплачивать суммы лечения самостоятельно. Я запускаю сбор денег на его лечение на данный момент, чтобы была возможность вылечить его и вернуть назад в Казахстан. В свою очередь от волонтеров я ожидаю помощь с организацией сбора денег на оплату лечения моего брата в Таиланде.
В посольстве Казахстана в Таиланде Тихону сообщили, что больница продолжит наблюдение и лечение его брата, и что в данный момент он не транспортабелен.

Фото предоставлены Тихоном ВИВТОНЕНКО
Последние новости




